Skip to content
YouTube
FaceBook
Instagram
Our Aussie Family
#collectingmemoriesnotthings
Primary Menu
Home
Australian Road Trips
Central Australia
New South Wales – Sydney
Victoria – Melbourne & GOR
Tasmania – Hobart
Northern Territory – Darwin
Northern Territory – 2022
Northern Territory – Kakadu
Western Australia
Epic Europe Tale
Holidays (other)
Port Lincoln
2022 Ends In Brisbane
Vanuatu here we come!
Hamilton Island
USA Holiday
Orlando
Disney World
Eastern USA Tour
Miami in a Day
Universal Images
Kennedy Space Centre
New York
Orlando Images
General
I Conquered more than you may know!
Christmas Spirit
Technology is the new Reality
My unexpected diagnosis
PVNS – One year On Post Surgery
DREAM BIG RUN
About Us
Search
Search for:
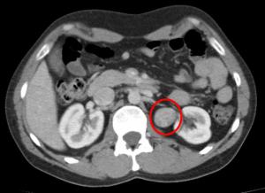
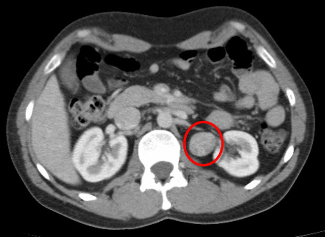
Tumor
Like
Loading...
Leave a comment
Cancel reply
Δ
Sidebar
YouTube
FaceBook
Instagram
Subscribe
Subscribed
Our Aussie Family
Sign me up
Already have a WordPress.com account?
Log in now.
Our Aussie Family
Subscribe
Subscribed
Sign up
Log in
Copy shortlink
Report this content
View post in Reader
Manage subscriptions
Collapse this bar
%d