A small introduction about me… In 2008 I weighed about 89kg always have been pretty active with sports etc but didn’t like who I was. I made a choice to make changes to what I ate, when I ate, how much I ate and introduced weight training accompanied by cardio sessions. After 3 hard years of “feeling great while losing weight” I weighed in at 73kgs but a huge drop in %Body Fat from 22 down to 9. Basically I was the fittest I have ever been with the exception of the year 2013.
My journey started in 2010 when I became a blood donor, my good friend paid it forward and I was soon donating blood (A-) every 3 months and was pleased knowing that my blood went to Cancer patients due to my blood type. I lost my mother in-law to Cancer in 2005 and I had always wanted to do something and giving blood was just the start.
I am a very keen cyclist, in 2013 I entered the event “Ride to Conquer Cancer”. I was training hard all through winter: riding, going to the Gym for weight training and then riding home, with anything up to 400km a week. Soon enough I started to feel tired all the time having chest infections etc and by about June hit the wall…..I just thought I was over doing it. One month passed and I hadn’t been on the bike but I wasn’t that worried I was still going to the gym 3 times a week but soon enough that was too much effort too and my health (flu like) was not improving.
August – I went to the doctors who examined me and put me on some antibiotics but 4 weeks went past and was doing nothing (exercise) as it all was too hard, it seemed my body was shutting down. I had my first blood test later that month – of which would be many to come, I was being tested for diabetes, celiac disease, vitamin deficiency all which proved to be normal except each time my White Blood Cell and Platelet count were low. Finally the breakthrough came around mid-September as I was tested for Glandular fever and returned a positive result.
Unfortunately I had given up all training on the bike and in the gym, I was at my lowest with every single task such an effort, I was short of breath, fatigue, nausea which caused me to lose my appetite but I had this “Ride to Conquer Cancer” motivational ride to keep me going as what I was experiencing would have been nothing to what Cancer patients and my mother-in-law went through.
The Day had Arrived
I woke up on this Saturday and was not great at all but knowing that I had raised over $5,500 for this great cause I was going to ride, I knew I had the depth in my fitness even if I hadn’t trained for the past 3 months. It was a very emotional time, alone on the bike thinking why you were doing the ride and the reality of losing such a lovely person at such a young age – it was great to finish the 2 day trek and have had shared many close stories with other cyclists.

Unfortunately I still wasn’t improving and it got to a point where the GP utilised all of their resources and I was informed that before they could categorically diagnose me with thrombocytopenia a Haematologist would need to rule out any other disease – and yes Leukaemia was mentioned, this was January 2014.
I saw a Haematologist for approx. 2 months in which I had blood tests etc and while I had low platelet count (Thrombocytopenia) it was not medically something to worry about and in fact medical records showed that I had a low count back in 1999 and infections/fevers will cause a drop in white cells. However my symptoms – fatigue, nausea, shortness of breath, loss of appetite had him a little concerned then as by pure accident I did mention that I get stomach cramps all the time and on examination it was a little painful (6/10) where pressure was applied. A full Abdominal CT scan was booked just to make sure.
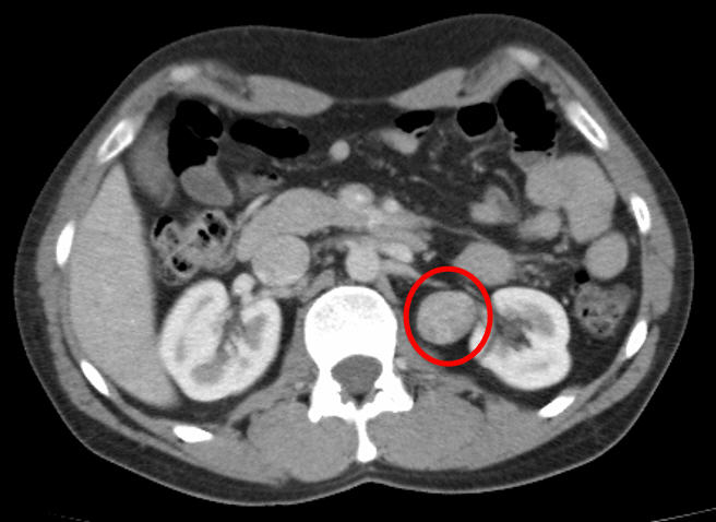
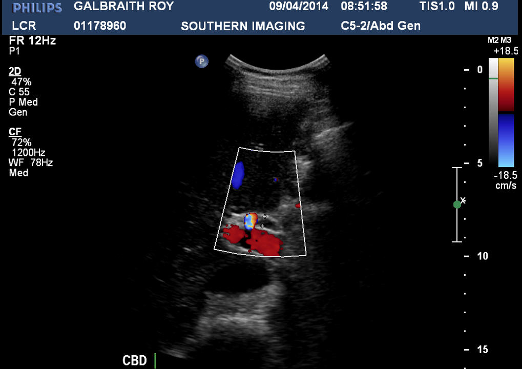
It was the end of March (31) when I had my CT Scan and on April the 1st I received the call – there is a lesion on your Kidney and I have booked you in for an Intravenous Ultra Sound in 2 days. Questions! Well I didn’t know what to say.. What did it mean? What was an intravenous ultra sound?
I really didn’t have to wait long, I was at my last Haematologist appointment where I was advised that I have “Key Characteristics” that warrant treatment for a malignant Kidney Cancer at the age of 37. My next appointment was in the care of Urology where it was again indicated that I have Kidney Cancer and treatment options were planned but nothing was conclusive during this time. Out of the blue in June’14 I received a phone call from my treating urologist and was advised that I would be booked in for a Biopsy, this rattled me emotionally as the plan had changed and I wasn’t convinced. You see my tumour is not in the kidney but it is on the Renal Artery – “not your classic kidney cancer” I was informed.
Biopsy Results – it has now been confirmed that I have Renal Chromophobe Carcinoma (a rare type of Kidney Cancer). The tumour is approx. 4cm in size sitting on the left renal artery and the plan is to remove the tumour, part of the artery and 1/3 of the kidney. Like all surgery it has its risks but mine has its own set of rules – I will be more than likely to be having open chest surgery as the location of the tumour is higher than normal and it is very close to the Aorta and right next to the spleen. There is also the possibility that a full removal of the left kidney may occur as the scans aren’t clearly showing if the tumour is touch both sides of the kidney. Surgery will occur on the 4/07/2014.In conclusion I guess I don’t meet the statistical guides of kidney cancer, never really had typical symptoms and due to a really thorough Haematologist I am lucky to have it diagnosed this early. I didn’t feel the need to google around on the web as I requested a Kidney Cancer pack which got sent out to me as well as the website both of which gave me plenty of information about Kidney Cancer and what to expect. I do however find myself a little isolated given the end diagnosis and very little information about this particular cell mutation and what are the statistics for this. I was never really overweight (obese), don’t drink alcohol (occasionally – 1 every 4 years), never smoked so I cant really see why I would have Kidney Cancer – but I do and what will be will be.
I do have a very loving wife, support of family and friends and 2 beautiful girls but would be lying if I didn’t say it is an emotional roller coaster even for someone as mentally tough as myself.
Update: July, 2014
It’s been almost 2 weeks since my operation and here is a little insight to my journey.
Pre Op – the week leading into the procedure I was not nervous and maybe this was only due to myself having a couple of other surgery’s but nothing as serious as this one. However the pre-admission appointment where the final check-ins were done was a little confronting as I asked about the pain levels to which I got “it’s going to hurt”. I was advised that I would be having local anaesthetic along the incision to assist with pain relief!
The day was here, sitting in the bed hunched over the edge having a spinal tap (to assist with pain) I found out that the surgeon had decided to go with the normal left to right incision and then the gas.
Waking up in ICU (Intension Care Unit) I had tubes every where:
- Intravenous Cannula in top of hand used for antibiotics, pain relief and water
- Arterial Cannula in underside of wrist used for blood monitoring during surgery
- PCA Pump – patient controlled pain relief
- ECG monitoring
- Oxygen tubes into nose
- Inflatable leg wraps – to assist with circulation to avoid blood clots in legs
- Urinary Catheter (Foley)
- Kidney Catheter (Hemovac)
The pain was tolerable in the early stages but soon I was pressing the PCA, which was met with its own problems, I started to feel nausea. I was in a vicious circle as I didn’t want to feel nausea but the pain was increasing and even though I was given anti-nausea medication nothing seemed to work, I was feeling very low.
Good news as I was given a steroid which allowed me to be free on the PCA without the nausea feeling and with this I soon improved quickly and even managed to sit out of bed in a chair for a hour. I spent 2 days in ICU (excluding the first night) with each day improving and cables/monitoring equipment removed but nothing was better than getting that Foley Catheter removed J. I even managed to get up and walk (with frame) to the shower.Day 3 and I was transferred to a ward, I still had my Kidney drain but other than this was able to walk to the toilet, which was fantastic mentally. Pain was manageable with tablets and all very good signs of improvement and by Day 5 it was time to go home.
The first couple of days at home took a little bit of adjusting too as I was certainly not having the meds (pain) as often, as my wife was not willing to wake me up. I quickly noticed that sleeping in a bed became an issue and I had sustained a shoulder injury during the surgery (I did notice at the hospital also). Day 3 at home was the worst day I had with the reduction of meds (pain) I woke up in pain and the nauseous feeling hard returned in a big way.
Luckily this only lasted the one day and I have since only been improving with every day, my shoulder has since had scans finding a very small tear. My wound is healing very well and the pain is reducing every day, I do find it to be very sore (sharp stabbing pain with heat) just below the waistline – the docs have informed me this is a nerve.
Overall the pain is manageable with panadol, I still find it hard to cough, laugh and sneezed the other day, which caused extreme pain to the waistline area. Sleeping has been difficult during the last 2 weeks and is best described as lying on your back (only) onto a spring bed, its very uncomfortable.

July 2017 – this is a recollection of my early days dealing with Chromophobe renal cell carcinoma (Kidney Cancer) and I wrote this on the kidney.org.au forum to share with other’s. Since earlier this year this part of their site has been decommissioned and I did not wish to lose this part of my life.
Finally in updating this I should say that while my Kidney function is normal I have had plenty of other non related issues diagnosed – or are they all related given it is a toxin in your body.
